top of page
Cerca


Sigaretta: un killer silenzioso e spietato!
Quante volte mi trovo a dover cercare di far capire al paziente quanto dannoso è il fumo. Direi che possiamo metterlo al primo posto tra...
cinticardio
Â
Â
Â


Quali analisi fare e cosa portare alla prima visita cardiologica
Come prepararsi alla prima visita cardiologica? Vediamo nel dettaglio cosa è indispensabile portare: Referti di visite cardiologiche...
cinticardio
Â
Â
Â


Attivita' fisica...la nostra alleata!
Tutte le linee guida per la prevenzione delle malattie cardiovascolari sottolineano l'importanza fondamentale dell'attivita' fisica....
cinticardio
Â
Â
Â


Pressione arteriosa: come misurarla?
Molto spesso i valori pressori non vengono misurati correttamente e il paziente finisce per entrare in un loop di ansia e frustazione...
cinticardio
Â
Â
Â


Farmaci e integratori per il colesterolo: facciamo chiarezza
Il colesterolo cattivo (LDL) e' un elemento potenzialmente pericoloso quando supera determinati valori perche' contribuisce alla...
cinticardio
Â
Â
Â


Placca da radiazioni, un caso curioso
Guardate questa carotide di un paziente sottoposto a radioterapia del collo per un tumore della gola. Il danno da radiazioni ha causato...
cinticardio
Â
Â
Â


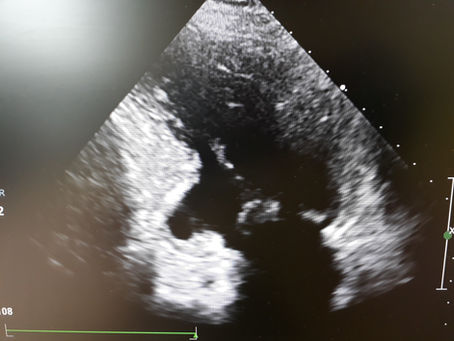
Prolasso mitralico e insufficienza mitralica
La mitrale e' una delle quattro valvole del nostro cuore, si trova nella parte sinistra e si chiama cosi' perche' sembra una mitra...
cinticardio
Â
Â
Â


Le medicine possono essere prese a cicli ?
Molti pazienti mi chiedono se possono prendere le medicine per la pressione o il colesterolo per un periodo e poi sospenderle. Ora...
cinticardio
Â
Â
Â


Un'eredita' scomoda..
Uno dei fattori di rischio cardiovascolare piu' insidioso e' la familiarita' per patologie cardiovascolari che e' presente se un...
cinticardio
Â
Â
Â


Bologna la grassa...la patria del colesterolo!
La nostra e' una citta' meravigliosa, ma nella dieta ha un connubio davvero deleterio per il nostro colesterolo: il maiale e il...
cinticardio
Â
Â
Â


L'infarto c'e' stato e si vede..
Nell'immagine sotto si puo' vedere la cicatrice di un infarto pregresso: vedete quella rientranza in basso a sinistra? In quell'area...
cinticardio
Â
Â
Â


Placca lipidica: invisibile agli occhi, ma pericolosa come una cubo medusa!
Queste sono immagini di una placca molte pericolosa perche' quasi invisibile. Se guardassimo solo l'immagine a sinistra vedremmo solo un...
cinticardio
Â
Â
Â


Prova da sforzo, e' sempre indicata?
La prova da sforzo consiste nel monitoraggio continuo dell'elettrocardiogramma durante uno sforzo (su tapis roulant o bicicletta) per...
cinticardio
Â
Â
Â


Batticuore
Chiamatelo come volete: cardiopalmo, batticuore, battito accelerato. Puo' essere fonte di grande preoccupazione sia nei pazienti giovani...
cinticardio
Â
Â
Â


Placche e stenosi delle carotidi
Le carotidi sono le arterie che portano il sangue al cervello e, siccome decorrono abbastanza superficialmente a livello del collo, e'...
cinticardio
Â
Â
Â


Fibrillazione atriale come una musica stonata
Quando mi trovo a visitare un paziente a cui riscontro una fibrillazione atriale che non sapeva di avere faccio sempre questo esempio per...
cinticardio
Â
Â
Â


Parliamo di pressione alta
La pressione alta in termini tecnici si definisce ipertensione arteriosa sistemica e puo' essere sistolica (e' alta la pressione...
cinticardio
Â
Â
Â
bottom of page
